美景图片网
导航
首页 > 其他类别 >

慢性萎缩性胃炎大全(12)张

猫扑风铃上传

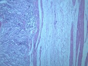
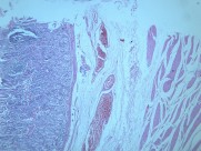
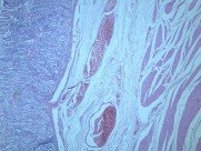
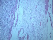
本病以胃粘膜萎缩变薄,粘膜腺体减少或消失,并伴有肠上皮化生,固有膜内多量淋巴细胞、浆细胞浸润为特点。本性胃炎的病因比较复杂,部分可能与吸烟酗酒和用药不量有关,部分由慢性浅表性胃炎迁移发展而来,还有部分属兔自身免疫疾病。

所属小分类:
相关图集
热门小分类
时安安 安然anran 姜冉冉Renee 陆萱萱 学生妹 d罩杯美女 肚兜美女 肉感美女 美女福利 职业装美女 腿模 性感美女 清纯美女 Shelly诗莉 妲己_Toxic 杏子Yada 尹甜甜sunny 鱼子酱Fish 性感熟女 白嫩mm