大叶性肺炎(12)张
一夕一夏上传
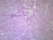
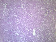
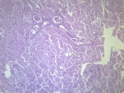
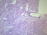
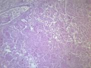
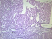
大叶性肺炎(lobarpneumonia)主要是由肺炎链球菌引起,病变累及一个肺段以上肺组织,以肺泡内弥漫性纤维素渗出为主的急性炎症。病变起始于局部肺泡,并迅速蔓延至一个肺段或整个大叶。临床上起病急骤,常以高热、恶寒开始,继而出现胸痛、咳嗽、咳铁锈色痰,呼吸困难,并有肺实变体征及外周血白细胞计数增高等。病程大约一周,体温骤降,症状消失。该病多发生于青壮年男性。疾病常见诱因有受凉、劳累或淋雨等。属于中医“风温”、“肺痈”等范畴。
所属小分类:
相关图集
热门小分类














