甲状腺瘤(11)张
猫扑风铃上传
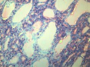
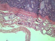
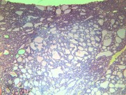
甲状腺瘤是临床常见病、多发病,其中绝大多数为良性病变,少数为癌。病因不清,病理改变为甲状腺滤泡增生,甲状腺组织肿大。良性质地柔软,恶性质地坚硬。良性:颈部肿块多为单发,生长缓慢,大时可有压迫症状,肿块随吞咽上下活动、光滑、质地较软、呈圆形或椭圆形,可引发甲亢。瘤体小时,可通过全科治疗仪照射使其缩小、消失;瘤体过大时,应手术切除再行照射治疗,可达到消炎、止痛、消肿,加快伤口愈合,防止感染及疤痕之目的。临床总结下来,主要致病原因大致有这么几种:内分泌失调导致雌激素过高、碘摄入过量、精神压力大等等。
所属小分类:
相关图集
热门小分类











