美景图片网
导航
自然风光
运动体育
植物花卉
节日图片
人物图片
健康疾病
美食世界
其他类别
物品物件
装饰装修
设计素材
建筑环境
广告设计
艺术绘画
城市旅游
海洋世界
动物图片
交通运输
美女图片
动漫影视
游戏图片
头像
手抄报
首页
>
其他类别
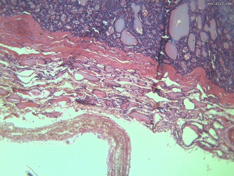
甲状腺瘤 - 第10张 共有
11
张壁纸
所属小分类:
医学
显微切片
肿瘤
thyroidadenoma
甲状腺瘤
腺瘤
相关图集
乳腺纤维腺瘤
热门小分类
时安安
安然anran
姜冉冉Renee
陆萱萱
学生妹
d罩杯美女
肚兜美女
肉感美女
美女福利
职业装美女
腿模
性感美女
清纯美女
Shelly诗莉
妲己_Toxic
杏子Yada
尹甜甜sunny
鱼子酱Fish
性感熟女
白嫩mm