美景图片网
导航
自然风光
运动体育
植物花卉
节日图片
人物图片
健康疾病
美食世界
其他类别
物品物件
装饰装修
设计素材
建筑环境
广告设计
艺术绘画
城市旅游
海洋世界
动物图片
交通运输
美女图片
动漫影视
游戏图片
头像
手抄报
首页
>
其他类别
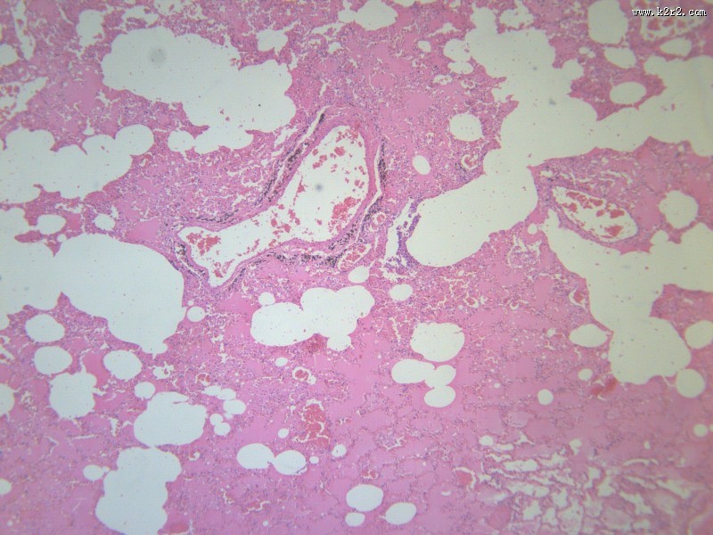
小叶性肺炎 - 第4张 共有
12
张壁纸
所属小分类:
医学
显微切片
炎症
肺炎
bronchopneumonia
小叶性肺炎
支气管肺炎
相关图集
精致贵重的小叶紫檀手串图片
大叶性肺炎
优雅的小叶紫檀手串图片大全
科普新冠肺炎手抄报图片 14张健康手抄报
新型冠状病毒肺炎手抄报 致敬逆行者 15张健康手抄报
热门小分类
时安安
安然anran
姜冉冉Renee
陆萱萱
学生妹
d罩杯美女
肚兜美女
肉感美女
美女福利
职业装美女
腿模
性感美女
清纯美女
Shelly诗莉
妲己_Toxic
杏子Yada
尹甜甜sunny
鱼子酱Fish
性感熟女
白嫩mm